Welcome to DOTS DENTAL, where advanced care meets personalized treatment to craft your perfect smile. Connect with us today and transform your dental health journey!

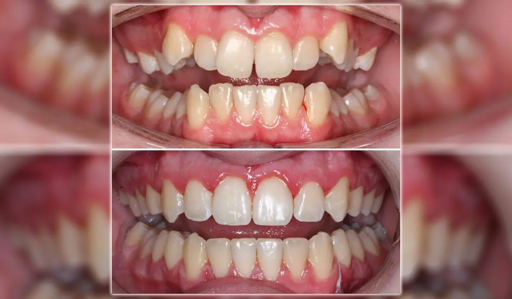
Explore a world of comprehensive dental care tailored just for you. Experience advanced smile alignment with clear aligners designed for precision, comfort, and confidence. DOTS DENTAL offers high-quality services for every smile.

You'll be welcomed by our friendly receptionist before consulting with one of our orthodontic specialists. The appointment focuses on you - your objectives, inquiries, and any worries you might have. It typically takes about 30 minutes
During the consultation, you will receive a 3D Smile Simulation to demonstrate how your smile might appear post-treatment. Our expert in teeth straightening will assess your suitability and provide a detailed explanation of the procedure

Get that confident, radiant smile in months and not years.







Dr. Chetanya Patel provided really good and professional service with all the guidance required. He's ability to understand, examine and perform on the patient is outstanding. My wife and I went there for our cavity filling and he had done a great job instantaneously.


The whole team is very welcoming, organized, and makes you feel comfortable right away. Anu and Arshia were especially very kind and explained everything clearly, which helped a lot. I definitely recommend this place if you’re looking for friendly staff and professional care!


For those who have dental anxiety this place is for you. The nicest staff are employed here and all my teeth cleanings have been very gentle. The team here are knowledgeable and the office is very clean. Highly recommend!
Your Questions Answered: Quick Insights on Our Dental Care and Services.
What sets DOTS DENTAL apart from other clinics?
At DOTS DENTAL, we combine advanced technology with genuinely personalized care. Every treatment plan is tailored to your needs — no rushed appointments, no unnecessary procedures.
Do you offer any special packages for families?
Yes! DOTS DENTAL offers family-friendly packages designed to make quality dental care affordable and convenient.
Can I book an appointment online?
Absolutely! You can schedule your appointment by the contacting us through the contact form.
What should I expect during my first visit?
Your first visit at DOTS DENTAL is all about comfort and clarity. We start with a thorough consultation, detailed examination, and any necessary digital scans.
Are your dental treatments covered by insurance
Many of our treatments are covered by dental insurance, depending on your provider and plan. We also accept CDCP.
What measures are in place at DOTS DENTAL to ensure sanitation and infection control?
Your safety is our priority. DOTS DENTAL follows strict sterilization and infection-control protocols that meet international standards.
Unlock your new, confident self by getting your dream smile. Book a complimentary consultation, today!
~Three-year Comprehensive Invisalign Treatment For Only $3000
~One pair of FREE customized retainers using SprintRay
~FREE In-Office Zoom Teeth Whitening ($800 Value)
~FREE Oral Exam ($180 Value)
~FREE iTero Digital Scan ($200 Value)
~Treatment Plan Preparation ($70 value)
~Flexible Payment Plans (Priceless)